跳至主要內容
關於洵美
選單切換按鈕
診所介紹
環境介紹
醫療團隊
治療項目
案例分享
選單切換按鈕
牙齒美白
全口重建
全瓷美學
陶瓷嵌體復型
牙根覆蓋
最新公告
聯絡我們
立即預約
立即預約
Main Menu
立即預約
立即預約
關於洵美
選單切換按鈕
診所介紹
環境介紹
醫療團隊
治療項目
案例分享
選單切換按鈕
牙齒美白
全口重建
全瓷美學
陶瓷嵌體復型
牙根覆蓋
最新公告
聯絡我們
案例分享
⊕
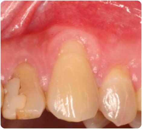
牙根覆蓋
初診問題:
30歲男性,矯正前處理牙齦萎縮的左上犬齒
解決方式:
圖為術前與術後三個月
返回頂端
載入迴響中...
發表迴響…
電子郵件
名稱
網站